图知网
搜索
首页
热门推荐
图片分类
历史上的赵云真的帅吗来看看古尸相貌复原图
下载原图
相关图片
/storage/emulated/0/tencent/qq_images
三星堆为什么越挖越神秘李白曾感叹四万八千年
神秘消失的宝藏:马王堆千年女尸容颜不腐,竟然是因为它?(图)
李白有1米74.唐太宗的老婆韦贵妃韦珪,考古量了她的尸骨,身高居然是1.
日本数次索要她的头发,美国也想拿月球土换,中国警觉:半寸不给
从清东陵流出的宝物,现在都在什么地方?
为你推荐
动漫双马尾头像女生头像
黑白照片如何变彩色?教你一招
电影订亲海报剧照图片
主推艺人香港艺人刘玉翠
得力30029文具胶带12mm*18米透明小胶带学生办公用品6卷一筒批发
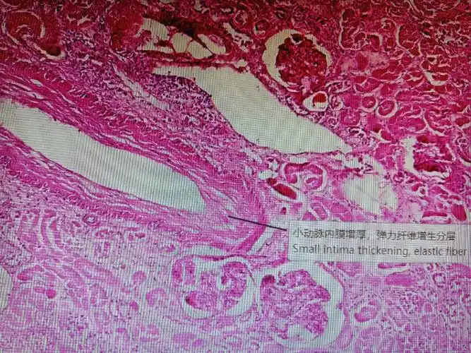
病理组织切片观察六心血管系统疾病下
东魏
iphone12手机有几个颜色苹果12哪个好看网友爆料高清组图