图知网
搜索
首页
热门推荐
图片分类
重庆深山野鸡竟是珍稀动物红腹角雉,叫声诡异如同婴儿啼哭_保护_种群
下载原图
相关图片
七彩山鸡
七彩山鸡
七彩山鸡 2-3斤
七彩山鸡
林间七彩山鸡
第五种 竹鸡山鸡属于国家"三有"保护动物第四种 山鸡(含七彩山鸡,雉鸡
为你推荐
一组催人泪下的父爱照,温暖又感动,每个爸爸都是孩子的超级英雄
美国黑布林李子
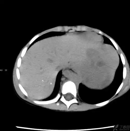
【读片】发现左上腹部肿块1天 [病例帖]
出售五菱兴旺面包车一辆车况很好审车保险一整年
看到她前阵子发的图 忍不住跟画一下 哑光粉棕配色的眼妆 眼头煽量
wildest dreams-taylor swift五线谱预览5
走进一个旧的海滨城市,它却是沉静而悠久的仙境