图知网
搜索
首页
热门推荐
图片分类
你是80年代的歌迷,那么你一定不会忘记香港四大天王——张学友,刘德华
下载原图
相关图片
说起刘德华,是一个无人不知,无人不晓的人物,他由八十年代红到现在,足
马来西亚百亿豪门出生的朱丽倩为什么甘愿被刘德华藏21年
刘德华_老照片_包袱斋【7788收藏__收藏热线】
刘德华 andy lau的图片
汤镇业与刘德华的渊源还要追溯到上世纪八十年代.
在香港机场偶遇后才知道刘德华有多帅是真的帅
为你推荐
圆脸,脖子短的女生,建议试试这款"酒窝发",洋气减龄还显气质 - 下巴短
一个月宝宝帽子春秋
戏内是情敌戏外是好基友 张云龙和高伟光的日常也是相爱相杀
如何用乐高搭独角兽手把手教你20个又萌又简单的乐高造型图纸
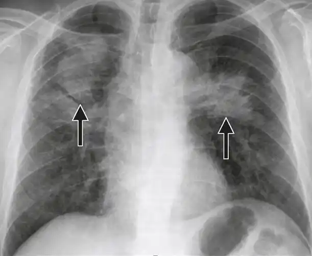
l 二期尘肺,总体密集度二级的小阴影分布范围超过四个肺区,或者三级的
泰国女星mai davika
地理百科 区县市地图轮廓.揭阳市,广东省辖地级市,别称"岭南 - 抖音
假如武汉三镇没有合并汉口gdp跻身全国top30武昌超厦门