图知网
搜索
首页
热门推荐
图片分类
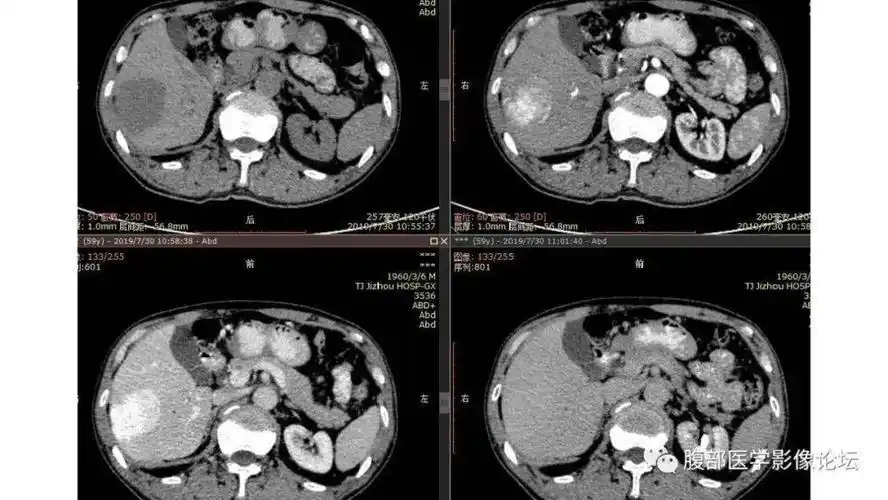
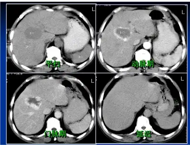
肝血管瘤ct表现
下载原图
相关图片
肝血管瘤要紧吗
执业医师实践技能影像学ct诊断《肝血管瘤》
小铭哥 :36 血管瘤 天涯 :36 海绵宝宝 夏威夷的风 :36 海绵状
肝脏血管瘤影像学表现及鉴别诊断二影像天地
肝脏血管瘤影像学表现及鉴别诊断(一) | 影像天地
肝脏丨血管瘤
为你推荐
12生肖萌卡通图
经典logo设计解读路易威登品牌标志设计
圣诞新年穿搭温柔复古车厘子红!
为何宋轶的塌鼻梁不影响美感?
tnt超进化---主任二型红色的一坨#我的世界潮流皮肤@江鸽 - 抖音
海南博车汇~水哥>·1年前>#2021年丰田凯美瑞2.
高敏诗明熙啊真真意难平
大王酸浆抹香鲸简笔画