图知网
搜索
首页
热门推荐
图片分类
电视剧《后宫·甄嬛传》全集(1-76集)大结局分集剧情介绍
下载原图
相关图片
后宫甄嬛传全76集
76集《甄嬛传》在美国剪成6集,剧中最没存在感的嫔妃,居然还在
erilles古装宫廷电视剧光盘 后宫甄嬛传dvd碟片76集完整版/孙俪
甄嬛传os1瓜六的答卷
甄嬛传介绍(甄嬛传电视剧76集全免费)
甄嬛传:端妃76集只侍寝过一次,侍寝后说了10个字,让人无地自容
为你推荐
八三夭想见你想见你想见你台北小巨蛋演唱会alin火辣助阵沸腾全场
童画提高班《沙漠骆驼》
柳体毛笔字帖柳公权唐诗书法描红宣纸初学者中楷书入门临摹米字格
大气黑金风立体炫酷倒计时数字6
白色篷布做的汽车遮阳棚膜结构自行车棚案例效果图图片
布丁狗 - 堆糖,美图壁纸兴趣社区
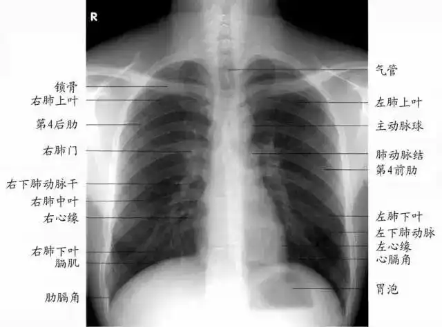
正常胸部正位片
城事绵竹街头有人卖虎骨虎爪警察蜀黍闻讯出动