图知网
搜索
首页
热门推荐
图片分类
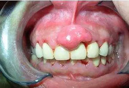
牙龈癌手术前后图
下载原图
相关图片
牙龈癌早期症状图片(55)
如何治疗?_牙龈癌_介绍_症状表现_治疗方式 - 好大夫在线
牙龈癌
【图】牙龈癌的早期症状图片展示 4种临床表现你了解吗?
牙龈癌早期症状图片(55)
牙龈癌早期症状图片(55)
为你推荐
成年人初学者大号13档7珠算盘老式实木制算盘木质算
现代北欧简约灰蓝窗帘客厅卧室飘窗遮光防风保暖成品3.5*2.7米高
刘仁娜《触及真心》
这些抗战宣传画让我们泪流满面
nokia/诺基亚8250蓝屏幕老人机蝴蝶造型按键老款收藏手机 银色 移动版
长期租房 真实有效.#抖音热门 #房东直租无中介费 #带你看 - 抖音
古代妃子的称号和等级
要得永生,必遭天谴.直到生死离别,才留一