图知网
搜索
首页
热门推荐
图片分类
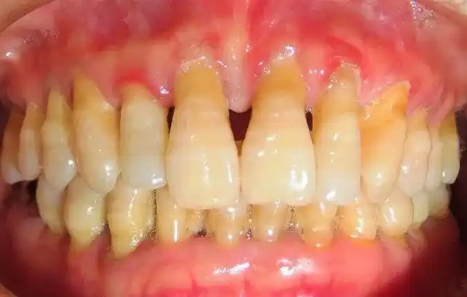
长期牙齿松动是什么原因引起的?_问题_口腔_牙龈
下载原图
相关图片
牙根出现松动,进一步发展出现牙齿脱落年轻人牙齿松动脱落怎么办1
牙齿松动脱落,掉牙
牙齿松动怎么办?只能拔掉吗?
牙齿松动怎么办 难道只能眼睁睁看着掉落吗?
牙齿在松动久了之后多长时间会脱落
年纪不大,牙齿松动.如何治疗,如何预防?
为你推荐
请记住 今天你们差点就抓住了 杰克船长
小清新情侣头像
周杰伦##周杰伦太阳之子
抗摔透明卷尺10m*25mm/虎威
心碎了_纹身图案手稿图片_刘热血的纹身作品集
q版大脑壳丁程鑫
武汉大学logo
baylee