图知网
搜索
首页
热门推荐
图片分类
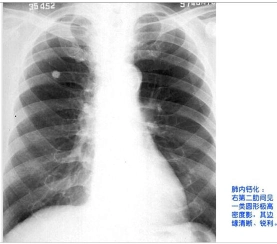
肺内多发钙化灶考虑什么
下载原图
相关图片
左上肺钙化灶
肺内钙化病灶的鉴别诊断
4种常见钙化灶和影像学说明!
肺部点状钙化影是什么意思肺部点状钙化灶肺部点状结节肺部点状致密影
肺内多发钙化灶考虑什么
肺内钙化灶
为你推荐
电影《甜蜜蜜》:李翘的事业心很能打
三国演义六出祁山,三国演义六出祁山介绍(诸葛亮一生六出祁山)
8位香港黄金配角晚年:周伯通瘦60斤,胖头陀成保安,他胖到272斤
小舍得定档##小舍得中国式家庭#《小舍得》今日发布全阵容人像海报
最美赵敏再度惊艳!陈钰琪挑战10天不断更福利图
窥探yyds
中国古建筑具有悠久的历史和光辉的成就,象征着古代人民的无限智慧.
杨森派瑞松软膏曲安奈德益康唑乳膏湿疹皮炎体癣股癣手足癣花斑癣