Warning: session_start(): open(/tmp/sess_4f6sklsptfavp12dpglrrmo9ba, O_RDWR) failed: No space left on device (28) in /www/wwwroot/www.tuzhiw.com/config.php on line 13

Warning: session_start(): Failed to read session data: files (path: ) in /www/wwwroot/www.tuzhiw.com/config.php on line 13
【一人简餐】试做辣卤炸豆腐 - acfun弹幕视频网 - 认真你就输啦 (? - 图知网

【一人简餐】试做辣卤炸豆腐 - acfun弹幕视频网 - 认真你就输啦 (?

相关图片

为你推荐

可爱好看动漫情侣头像图片2021最火爆

电视剧品质盛典,周迅与李少红重聚,回忆《橘子红了》细节_腾讯新闻

千灯观

乖乖等面的小姜好可爱

二,五雷扇,懂的人自然懂.

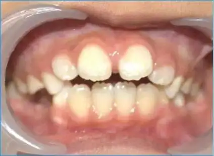
孩子吃手指危害大吗?_牙颌畸形_牙颌畸形发病原因 - 好大夫在线

耐克nikejordan6rings男子高帮运动实战减震篮球鞋

gif分割线


Warning: file_put_contents(/www/wwwroot/www.tuzhiw.com/cache/image/b8c54af9f5a46e1e43bd92907f6b60cf.html): Failed to open stream: No space left on device in /www/wwwroot/www.tuzhiw.com/config.php on line 196