图知网
搜索
首页
热门推荐
图片分类
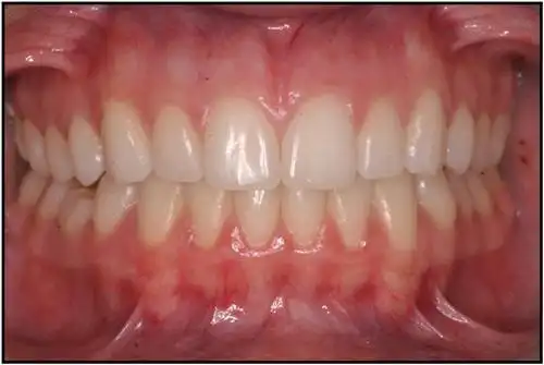
牙龈萎缩怎么办?不如…给牙龈做美容?
下载原图
相关图片
牙龈萎缩有什么办法治疗吗,现在牙根露出蛮多了,牙齿摇晃的好厉害.
中年以后,若不想牙齿松动,远离牙龈萎缩,需要注意这"2件事"
牙龈萎缩是什么原因牙龈萎缩各个阶段图片
附牙龈萎缩最严重图片
牙龈萎缩
牙龈萎缩和正常牙龈图片对比看看你的牙龈还有救吗
为你推荐
宣!马思纯担任belle百丽品牌首位代言人
富二代都长一副面孔?特朗普小儿子巴伦长大撞脸王思聪
彩虹苹果商标壁纸1280x800分辨率查看
青椒怎么做好吃?
一个圆等分九份?
最新生肖表排码表图新版正版2023年波色表图
玻璃贴膜防晒隔热膜遮光单向透视太阳膜窗户家用阳台窗纸窗贴纸
医院环境图片 - 深圳弘和口腔门诊部 - 美佳网