图知网
搜索
首页
热门推荐
图片分类
关于跖骨痛的常见问答
下载原图
相关图片
刘宇宁
解剖歌诀(二)骨与骨连结
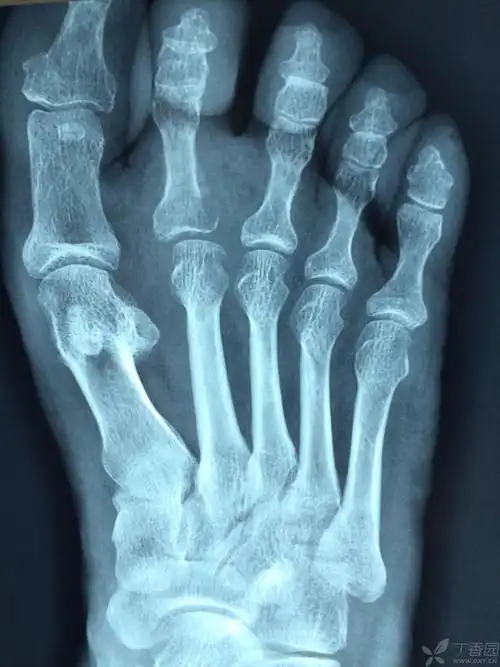
右足第二近节趾骨骨质破坏
我们比欧美人少两块骨头,是因为我们进化更充分吗?_趾骨
右足第2近节趾骨骨皮质欠连续,余诸骨形态,结构未见异常,印象:考虑右
趾骨
为你推荐
火影忍者 初代
见家长有禁忌 你会讨男朋友妈妈欢心吗
美的电饭煲配件活动盖板fs4088fs5088fs4089cfs5089cwfs4089l4098电煲
奖状全勤a4幼儿园每周表扬信满勤a5小学卡通奖状
钢板渐变造型的铁艺围墙护栏tw2335-实景拍摄
要知道,王冰冰以普通高考生身份考入大学,而不是艺考生,一个连四级都
画自己(第一辑)——一年紓5,一年紓5班作品
我觉得,该打你一顿表情包 - 表情图