图知网
搜索
首页
热门推荐
图片分类
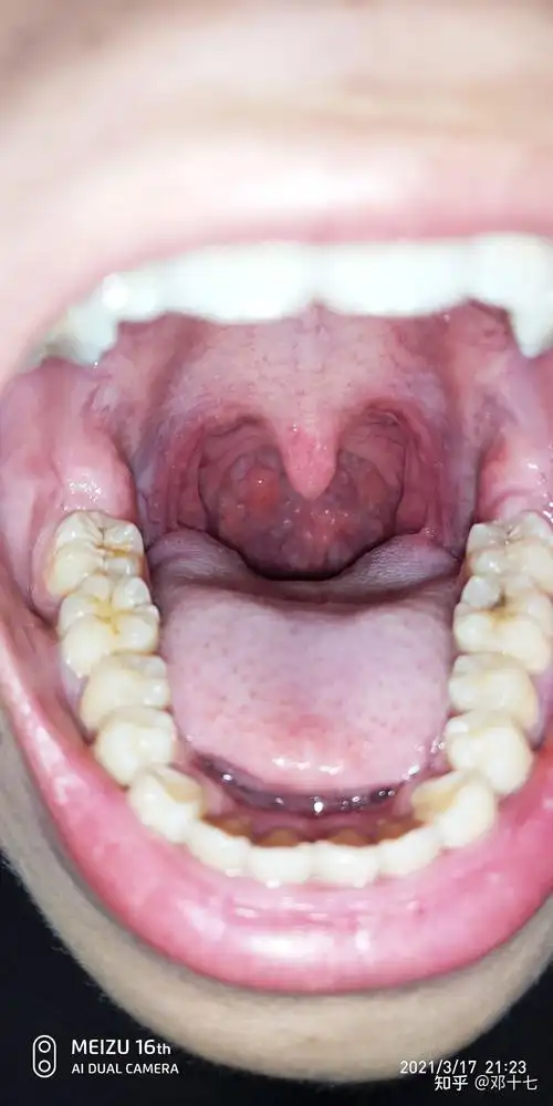
慢性咽炎
下载原图
相关图片
记录治疗慢性咽炎过程2
慢性咽炎不能拖时间长了身体会出现3种后果你或许不想看到
慢性咽炎的神奇治疗方法
今天我们来说一说滤泡性咽炎,中医上它属于慢性咽炎的其中一类,非常
慢性咽炎的检查
首大侯丽珍咽喉健康的定时炸弹慢性咽炎
为你推荐
玄彬把粉丝的心捏扁了
adam sandler to star in uncut gems from good time directors
科创中心功能教室
「绘画过程」q版大头客单展示 |刘耀文
电影《情书》中男藤井树死前唱着松田圣子的歌是什么意思? - 知乎
新到店7座18年长安cx70t,1.
【王者荣耀79小乔】#手绘 #王者荣耀手绘 #小乔 - 抖音
阿修罗微信头像_微信头像图片大全