图知网
搜索
首页
热门推荐
图片分类
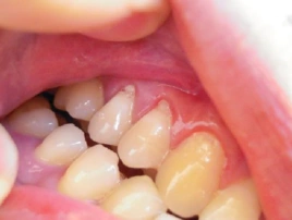
可能会恢复部分牙龈组织,一旦出现牙根外露情况说明牙周炎到了晚期
下载原图
相关图片
牙根外露
稍有不慎就会赔上一辈子的遗憾 认识牙龈炎,牙周病
牙根外露这个问题不容小觑
牙根外露
牙根外露一般是由这两个原因引起的:1,牙周炎症引起的日常没有做好
3个办法预防牙齿酸软|口腔|牙周炎|牙釉质|龋齿_网易订阅
为你推荐
邓伦流光溢彩王子装帅气写真
北冥有鱼-吴周繁朗读2019.1.29
流氓兔qq头像(专属于你的流氓兔头像它来啦)
一位非常可爱的动漫女孩,她有着粉红色的长发和蓝色的眼睛,看起来非常
湖州安吉龙王山峡谷漂流来了,5月1号开漂,现在第一波早鸟票6 - 抖音
工厂展示
飞鱼图片
苏教版牛津译林版小学英语四年级unit8 dolls优秀课课件