图知网
搜索
首页
热门推荐
图片分类
组胚实验红蓝铅笔手绘图
下载原图
相关图片
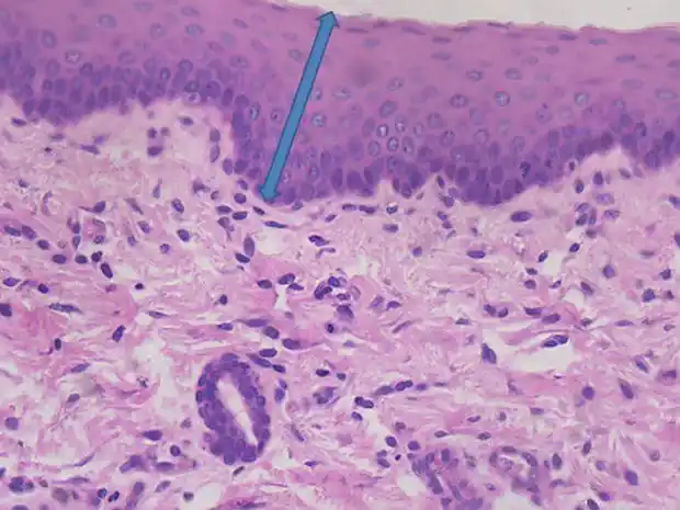
复层扁平上皮模式图
p>复层扁平上皮的细胞层次最多,仅表层的细胞为扁平状,故称复层扁平
未角化复层扁平上皮
组胚实验红蓝铅笔手绘图
组胚红蓝铅笔实验图的单层扁平上皮和假复层纤毛柱状上皮怎么画呀
(在上皮的垂直切面上,由多层细胞组成,细胞形状不一) 假复层
为你推荐
肖战 #头像 #漫画 - 抖音
但从未被超越"肯定会唤醒你的记忆,《新警察故事》里他戴面具的经典
杨幂身材真的好顶
原创因笑颜被网友捧成网红最美电视女记者王冰冰首度回应尽展情商
手绘绘本故事《西瓜生长记》
zakka杂货 埃菲尔铁塔摆件 铁丝网创意安居 工艺礼品a06501005
哎,又困了!#优质头像 #我又来送图啦 #一起换头像 # - 抖音
狼简笔画 狼简笔画凶残霸气