图知网
搜索
首页
热门推荐
图片分类
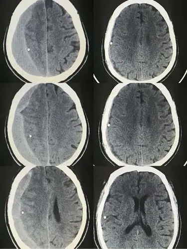
机化性慢性硬膜下血肿一例
下载原图
相关图片
老年人头部外伤后需警惕慢性硬膜下血肿的发生
双侧慢性硬膜下血肿病例分享
inc川岛明次教授:枕下开颅术治疗后颅窝慢性硬膜下血肿案例报告
罕见慢性疾病慢性硬膜下血肿,发病明显,严重影响患者日常生活
慢性硬膜下血肿
双侧慢性硬膜下血肿病例分享
为你推荐
盘点娱乐圈被恶搞成秃头的明星,林更新帅气,而他是男人的最爱
半夜,男朋友突然问我"吃鸡吗?",结果._头像
天行九歌壁纸焰灵姬图片
江南烟雨清名桥大窑路一直是闲暇时去走走的地方六月的江南正是梅雨
剪映手机app是有一键成片功能的, - 抖音
盘点8种可以"照亮"黑洞的天文望远镜-搜狐大视野-搜狐新闻
我的最美常州紫荆公园
我懂得了一份付出一分收获作文450字