图知网
搜索
首页
热门推荐
图片分类
轨道结构轨枕
下载原图
相关图片
轨枕型号参数 长度 (mm) 2500 2500 2500 2600 2600 2600 轨下截面
首都科学讲堂回顾丨第836期为中国梦提速中国高速铁路建造技术
矿用轨枕厂家现货直供现货供应混凝土轨枕矿用水泥轨枕
钢筋混凝土轨枕轨道结构
提高客专无喳轨道双块式轨枕合格率.doc
新ii型水泥轨枕产品特点ppt
为你推荐
西部战区空军某运输航空兵师政委仇超大校表示,此次长航时,大跨度运载
电视剧老九门剧照高清电脑壁纸
欧美嘻哈情侣头像
苹果简笔画,水果简笔画.苹果简笔画,水果简笔画,收藏起来留给 - 抖音
草草芸芸情头x1
晨光文具净利下滑16%,办公用品大客户采购贡献占过半,毛利率仅9%
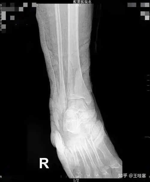
轻微骨裂拍的x片 看不懂 请问已经好了吗?
哈士奇:下雪了,开始工作,雪橇拉起来