图知网
搜索
首页
热门推荐
图片分类
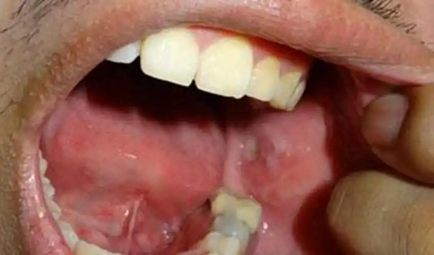
口腔癌的防治
下载原图
相关图片
口腔癌长满微生物 - 抖音
口腔癌
口腔癌诊断2例! - 好大夫在线
通过照片认识口腔癌
年仅36岁!男歌手患口腔癌病逝,这种"零食"千万别尝试
口腔癌的早期症状图(51)
为你推荐
原创荷兰最受欢迎的七大景点,中国游客只知道垫底的羊角村
qq空间伤感文字背景图
景观菠萝格木栈道护栏 山樟木公园栅栏 樟子松防腐木成品栏杆
可爱的文字手帐素材
郭碧婷与范冰冰谁漂亮(明星钻戒大盘点)(23)
张国荣21岁向她求婚,曾言:若你当年愿嫁给我,或许改变我的一生
马甲工作服定制印字logo广告活动反光马夹工装工装制服
《古风类服饰剪裁设计—基础汉服》by 糯米团子