图知网
搜索
首页
热门推荐
图片分类
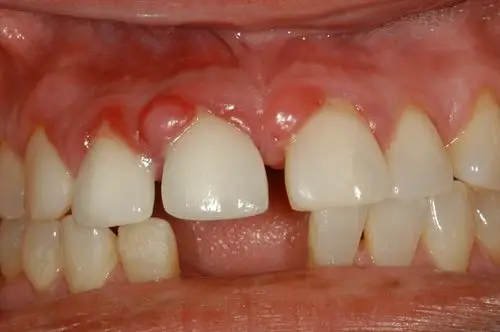
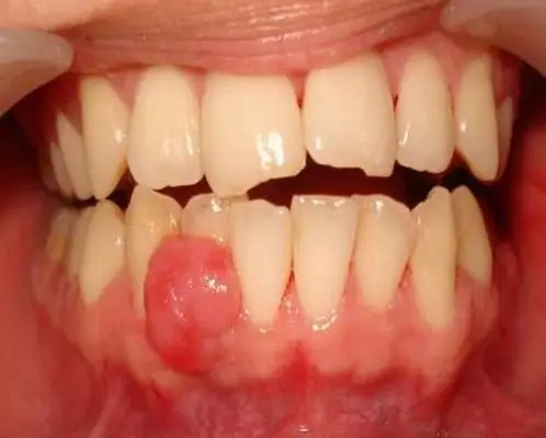
牙龈瘤长什么样?
下载原图
相关图片
牙龈瘤
牙龈瘤
口腔科主治医师马宇:牙龈瘤虽非真肿瘤,年轻女性也需警惕
牙龈瘤
牙龈瘤
牙龈瘤
为你推荐
林心如和霍建华,林心如穿卡通皮肤蜡黄难掩阿姨感,老公男神依旧
可爱的q版动物萌图手绘画一组萌萌哒的小兔子
桂东杨氏世系
上海美食之旅
三星大器4 g9198手机 移动联通电信4g双卡双待智能三网通手机批发
因除草剂等药害出现的西红柿黄头现象,其症状表现为从新叶叶柄处成片
白色马丁靴女内增高小个子
佐罗煤油打火机创意时来运转复古砂轮老式个防风潮煤油打火机