图知网
搜索
首页
热门推荐
图片分类
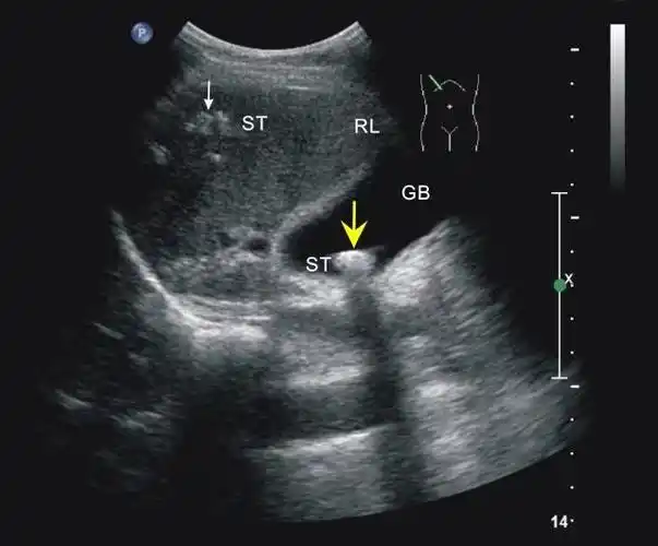
腹部超声不典型胆囊结石泥沙样结石
下载原图
相关图片
胆囊结石
胆囊结石1.jpg
典型胆总管结石 - 超声医学讨论版 - 爱爱医医学论坛
晒晒我们这的特色----各种各样的胆结石 - 超声医学讨论版 - 爱爱医
几张超声图片给大家看看
女子胆管内长出巨型结石重量超半斤比胆管粗了10倍
为你推荐
oldschool拼接花腿
你们男寝发生过哪些难忘的事?
周口市_妹妹_小学
我最喜欢的火焰龟品种,品相超级好,非常完美
赵家班东北传统二人转月牙五更小帽演员金玉兰野
隋俊波写真集
甲骨文中的动物世界 每一种动物就是一幅画呀
邓石如篆书书法