图知网
搜索
首页
热门推荐
图片分类
西华县_淮阳县地图
下载原图
相关图片
西华县企业建站_(西华县产业集聚区企业)
2023新版河南省西华县行政地图街道城区图画设计
西华县地图
西华县
周口市西华县地图
西华县
为你推荐
75米车辆运输车市场行情大好
墓碑上的故,显,考,妣,是什么意思?|墓主|考妣|尊称|先妣_网易订阅
有三角眼的艺人,李现,张若昀,刘昊然,你觉得谁更可?
四驱44越野卡车
足踝疼痛小心副舟骨综合征!
童年夏日雪糕图鉴
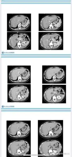
罕见病例丨肝周异位妊娠
死神镰刀