图知网
搜索
首页
热门推荐
图片分类
自营八仓当日发伊利安慕希黄桃燕麦酸奶儿童青少年营养早餐伴侣黄桃果
下载原图
相关图片
10亿丹麦菌种,30年验证,享誉100国产品定位:双歧杆菌bb-12品牌广告语
安慕希新广告,2020,我们重燃不止|海螺邦
破次元浓浓新国风,百变浓浓年味安慕希|campaign
2013年作品 安慕希酸奶 平面广告拍摄
安慕希公益创意设计奖
伊利 安慕希希腊风味常温酸奶蓝莓味205g*16盒/礼盒装
为你推荐
谢霆锋登封出色wsj眼神坚毅冷峻帅气
白起
原创秦岚好适合恋爱与王鹤棣合作cp感十足知性优雅绽放时尚魅力
苏州苏扇中国风真丝扇子折扇礼品扇 手绘女
消炎止痒湿疹过敏性皮炎蚊虫叮咬皮丹乳膏药膏抗的治疗治专用外用止痒
谁用谁吐槽,法系车这些设计我也是服了!_第5张图片
北京-车标故事( em>68 /em>/74)
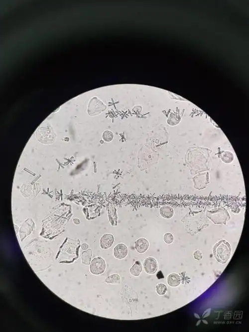
尿液里面的, 干化学维c3 ,蛋白1 ,镜下大量小圆上皮细胞.