图知网
搜索
首页
热门推荐
图片分类
唯美治愈谢谢1评论53更多所有评论你也来说些什么吧
下载原图
相关图片
向客户表示感谢的图片大全点击鼠标右键下载
感谢别人作文唯美句子
商务照片显示礼貌的表达时,承认礼品服务恭维图片照片网络计划与现代
正版感恩节感恩母亲摄影图海报vip520节日祝福唯美3d立体海报正版
十四电商五班毕业生(小乖君)纪念册
感恩的心,感谢有你
为你推荐
迪丽热巴手绘
李易峰晒新发色自拍##李易峰新发色
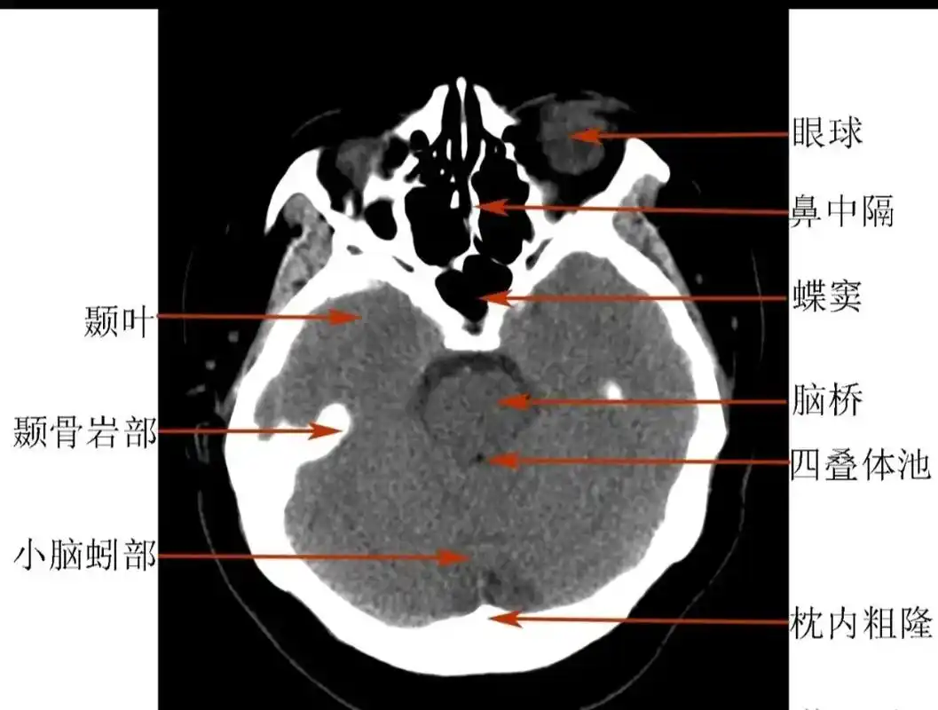
正常头颅ct.#愿所有人平安健康 #医学科普 #健康 - 抖音
插画分享illustrationsharingno7
壁纸 许多柑橘,新鲜水果 2880x1800 hd 高清壁纸, 图片, 照片
蔚蓝色的大海
女生动漫头像(可爱)
蚕简笔画图片