图知网
搜索
首页
热门推荐
图片分类
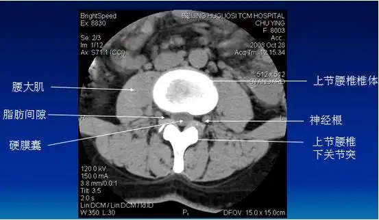
腰椎 #腰椎间盘突出 #腰间盘突出 #腰椎间盘突出症 #坐骨神经痛
下载原图
相关图片
腰间盘突出诊断分析
影像基础drx教你怎么看椎间盘突出
腰间盘突出急性期的就医心路
特色科室放射科腰椎ct诊断椎间盘突出椎管狭窄退行性改变
腰椎间盘突出ct诊断
腰椎间盘突出的影像诊断
为你推荐
80年代女演员最美照片合集,谁是你心中最美女神?_代表作_电影_电视剧
亚麻色头发图片效果图
杨洋这颜值真实存在吗在这个看脸的时代特别是在娱乐圈
俄罗斯丛林惊现女野人,力大无穷行动迅速,还跟人类生了四个孩子,dna
原创乌冬透露蜀面豪杰活动细节,不是时装专属道具,能抽其他奖励!
莲花剪纸
周杰伦超人不会飞吉他谱
头像-贝尔摩德#名侦探柯南# 67 头像-贝尔摩德,是名侦探柯南中的一