图知网
搜索
首页
热门推荐
图片分类
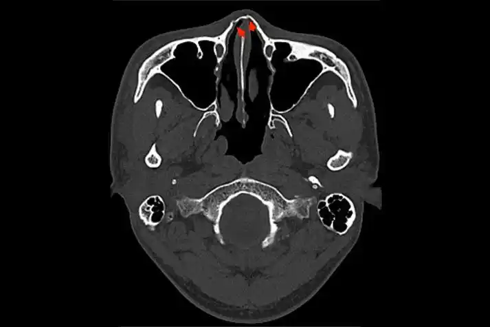
鼻骨解剖及ct诊断
下载原图
相关图片
鼻骨骨折影像图
这个鼻骨是正常的吗
感冒引起闭塞,继发鼻腔出血,太阳穴周胀痛就诊,ct,mri齐全请分析!
鼻窦炎鼻中隔偏曲有会看ct的姐妹吗
请帮忙看一下鼻部ct!
鼻骨正常ct解剖,变异与骨折
为你推荐
18位韩国女星整容前后对比
石膏像素描《小卫》
荷兰摄影师 ronin de goede 在新书《asakusa》中记
佘山玺樾
唐装女装中国风重工刺绣上衣宽松新中式改良上衣复古配衬衫的马甲
请问黄瓜叶片是什么病?叶子上面都是黄斑,照片上传了,谢谢
淀粉的形态 - 知乎
长的既视感,v型的衬衫将她雪白的肌肤展露出来,挺立的双肩拉长了身高