图知网
搜索
首页
热门推荐
图片分类
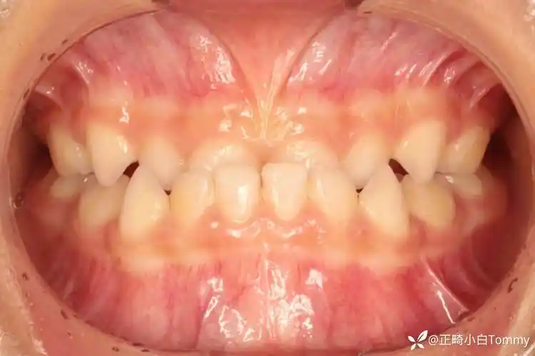
杨幂牙齿内倾的教训告诉你,拔牙并不能瘦脸
下载原图
相关图片
杨幂的脸垮得挺快,嘴一直控制不住地瘪瘪,网友:应该是做了手脚|整容
杨幂牙齿内倾的教训告诉你,拔牙并不能瘦脸
同样做过牙齿整形杨幂和baby美上天唯独她的颜值一落千丈
杨幂整容前后对比照整容之前是校花整容之后和本人差距太大了
因为拔牙整牙的关系,杨幂的牙齿变成内倾型
三年三个月大,上下颌均处于乳牙列时期,牙齿也非常整齐孩子无不良习惯
为你推荐
做朋友嘛,最重要的就是真心 刘德华 陈玉莲
中国教育电视台|2|12
lisa青春有你2#爱辽爱辽
幻灯片背景图片(可爱系列)副本19课件_第5页
当前第1页) 你可能喜欢 纸盒无纸 长方形折纸盒 纸箱纸盒 纸盒折法 的
彩条布三色防雨防晒遮阳花雨布装修铺地防尘防水花胶布塑料花油布
画朵小黄花
谁有爱奇艺会员账号啊,我想看盗墓笔记.可是一周一集等死我了.