图知网
搜索
首页
热门推荐
图片分类
新月——娥眉月——上弦月——盈凸——满月 ——亏凸——下弦月
下载原图
相关图片
上弦月和下弦月变化规律图解 - 月寒 - 月寒书舍
上弦月 残月 下弦月
了解月相,分辨上下弦月,观赏月亮你该了解的知识
终于知道什么是上弦月下弦月了.
月相名称 新月 上弦月 满月 下弦月 出现时间 初一 初七,八 十五,十六
按数序来分别是(如图):新月→娥眉月→上弦月→凸月→满月→凸月→下
为你推荐
bathing fixed meari naked tinkerbell tinkle tsukiyo_no_fromage
忙碌又平常的一天
【高清】女鬼剑三觉动画展示,剑帝依旧貌美如花
原创唯美早安心语早安正能量励志语录清晨问安祝福图片动态表情
满背线条不动明王线条
主题是可爱的卡通小动物狐狸矢量插画,编号是8579231,文件格式是ai,请
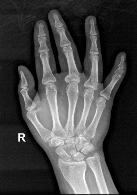
来医院急诊就诊,行x线片提示有右手中指第1节指骨近端骨折,涉及到关节
92 整理 9315发原图 92不定时更新内容 #自制玩具 #盲袋素材