图知网
搜索
首页
热门推荐
图片分类
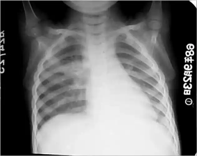
影像检查发现肺部有阴影,是肺癌吗?
下载原图
相关图片
你说有哑铃状就有哑铃状吧
典型病例发一个,"哑铃征" ,不用鉴别诊断 - 丁香园论坛
典型病例发一个,"哑铃征" ,不用鉴别诊断 - 丁香园论坛
肺结核的影像学诊断
淋巴管炎和肺门淋巴结结核称为原发综合征,x线呈哑铃状阴影,临床上
原发性综合症
为你推荐
茹茹妆云雪 的想法: 周海媚离世 | 在我的印象中,她在北漂的纪录片
猫咪头像 #暗黑系 #霸气 #头像 #抖音小助手 作品已 - 抖音
简单花边饺子
治愈系简约意境手绘插画桌面壁纸
有床和厕所的牢房.矢量图
【公主方戒托】珂兰 18k金铂金群镶公主方1克拉镶口戒托女p
86型二三四线智能感应声光控开关 楼道走廊延时声控人体感应开关
首页 新闻中心 工作动态2018年面向民间资本推介项目发布会邀请函