图知网
搜索
首页
热门推荐
图片分类
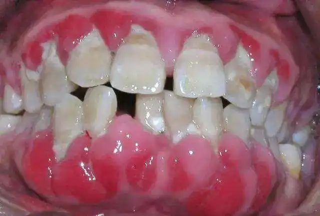
釉质钙化不全釉质发育不全与氟斑牙的区别是什么有图片吗
下载原图
相关图片
牙齿钙化
宝宝4岁 牙齿缺了个洞 这是钙化还是蛀牙呢?着急啊
宝宝牙齿钙化轻度图片(乳牙龋坏不用治) - 赤虎壹号
牙齿总是黄黄的!牙齿美白都拯救不了
牙齿钙化症状和图片,宝宝牙齿钙化轻度图片-图片大观-奇异网
牙齿黑斑
为你推荐
标准田字格(带字头~)楷书练字模板1.doc 21页
纹身贴男麒麟貔貅穷奇持久花臂半臂手臂仿真刺青贴纸买包邮办公室
《牧羊曲》,郑绪岚(六线谱 吉他谱吉他谱 第1页
司藤白英的孩子的神秘身份揭秘
和谐号简笔画教程_火车简笔画
西安地铁四期规划(仅供参考)据各方消息综合,市中心区的7号线 - 抖音
来看一下我的头像吧!抖音号:mylovecoco苦快手@ma - 抖音
黄埔名将张灵甫杀妻案:事发时原配被吓跑,事发后于凤至要求介入