图知网
搜索
首页
热门推荐
图片分类
美国白山羊的养殖技术,美国白山羊的养殖技术与管理
下载原图
相关图片
优质肉羊 活体白山羊 白山羊种羊
美国白山羊生长速度快,产量高,体型大,长腰身,抗病能力强养殖人的致富
美国白山羊优势,介绍
美国大白山羊的育肥方法 山东菏泽 美国白山羊-食品商务网
美国白山羊优势,介绍
回收白山羊 美国白山羊价格走向 白山羊 羊羔免费运输 育肥白山羊
为你推荐
头像##女生头像##可爱
有一种坏蛋叫乌鸦#古惑仔 - 抖音
李云迪环球综艺秀20191027
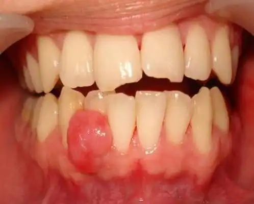
牙龈瘤
坐标上海的宝子们,发现太平洋百货大屏上的猫猫"上新"了吗?好有新意!
关于守护甜心
毛茸茸的小鸡图片(18/19)
民国三年袁世凯头像壹圆