图知网
搜索
首页
热门推荐
图片分类
河北燕郊植物园
下载原图
相关图片
燕郊的朋友们,来过三河人民公园吗?想体验下"三河一日游"吗?
燕郊潮白河生态景观带鲜花盛放,美不胜收_行客旅游网
16日三河市燕郊公园随拍-合影
山海关燕塞湖景区 - 冀旅游
燕岩(燕郊岩峰大厦)-乐途旅游网
大美燕郊植物园
为你推荐
【原编】 《妙光寻美 - 唯美黑白 - 别样巴黎》
快乐的年轻人指着你青春活力笑脸笑容
治愈系动漫头像. #二次元新鲜事
ai绘画,樱花美女壁纸,二次元,电脑壁纸
东方全人物黄昏立绘鉴赏
看过原著,本来以为就是重温一遍阿加莎,但是观后感很好,主线没有啥
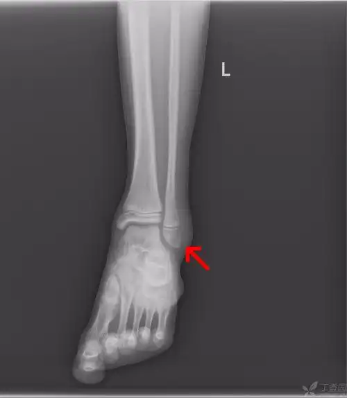
39-外踝骨折 m11y外伤后左外踝肿痛,活动受限1小时余
shfiguart格丽乔奥特曼