图知网
搜索
首页
热门推荐
图片分类
百岁岁 #艺术照 #宝宝百天 #家里拍写真 去影楼怕太折腾 - 抖音
下载原图
相关图片
婴儿满月照背景布道具写真宝宝百天艺术照主题满月照摄影影楼室内
婴儿满月照背景布道具写真宝宝百天艺术照主题满月照摄影影楼室内
婴儿满月照背景布道具写真宝宝百天艺术照主题满月照摄影影楼室内
孩子的成长印记 儿童艺术照模板
婴儿满月照背景布道具写真宝宝百天艺术照主题满月照摄影影楼室内
更多参考图:如果需要更好看的,建议去某宝买些艺术照衣服套装~一搜一
为你推荐
吉他调成标准音的话,c调1在5弦3品
厂家定制翻盖保健品包装盒 烫金天地盖包装盒创意礼品盒彩印
真的会有人喜欢卷毛吗
张彤这个女演员长得很漂亮的,她还和赵本山,范伟合作表演过小品
"海的那边还是海吗?"_男生头像_我要个性网
猴喝水-动物桌面壁纸
极美南京,挹江门_高清图集_新浪网
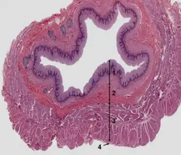
食管光镜像,请判断图中4所示的是食管壁的哪一层?()