图知网
搜索
首页
热门推荐
图片分类
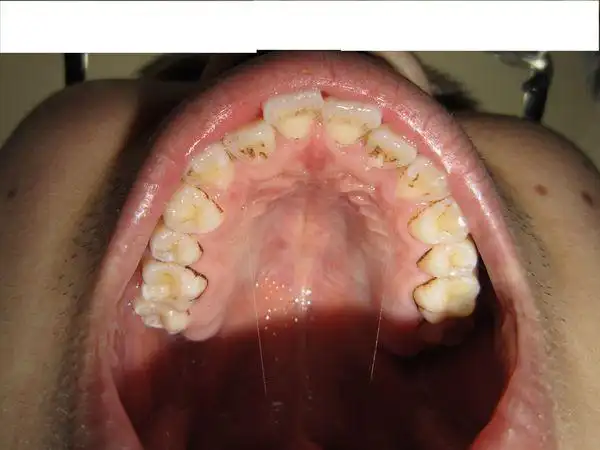
求专业牙医 大牙后面张个牙 一直疼
下载原图
相关图片
牙龈肿成了一坨坨的肉了怎麼办?能好吗?
昨天刚发现靠后面的下排牙齿牙龈部位的牙肉突出了,请问该怎么处理呢
最近牙龈很痛 左边最后一颗牙龈 还肿了,求解答.感谢 (有图)
怎么办,碍事吗,第三天,脸都是肿的 最里面的不是牙,是肉发白色了!
上颚两颗门牙后面的牙肉肿了
最后的牙肉翻在了最后一颗牙齿上不知道怎么回事,但是最近一直晚上
为你推荐
27年前郭富城的这个"摇头杀"如今火遍全网,帅到无法自拔,不愧是一代
深秋的清华园多么唯美#人间仙境美如画 #清华大学美景 - 抖音
借鉴于大师的配色灵感
精选书法字体图片-精选书法字体设计素材-精选书法字体模板下载
【折纸手工】知了折纸大全,认识知了从折纸开始!
龙珠图集:悟空专辑,哪个最霸气?
乐器是怎么分类的?你真的了解吗
炸鸡块图片