图知网
搜索
首页
热门推荐
图片分类
李晓明工笔画白描底稿荷花小品带步骤图用色说明国画临摹画稿ke17
下载原图
相关图片
工笔画步骤分享荷花
中国风国潮元素荷花上色
工笔画打印白描底稿郑玲玲荷花团扇步骤图文字说明初学者临摹线稿
王震工笔画白描底稿荷花莲藕小品带a3步骤图用色说明临摹画稿wz09
4幅工笔荷花白描染色步骤图,关注细节,注重写实!
《设色映日荷花》工笔画教程之一:《淡妆浓抹总相宜》
为你推荐
以刘恺威视角看杨幂我那大杀四方的前妻如今到底有多牛
奥迪a6|这就是黑珍珠本珠吧!绝了!
刘三刀:我有上将刘三刀,三刀可将吕布斩于马下!
lovelive 园田海未 海军
美食小龙虾宣传单word模板doc
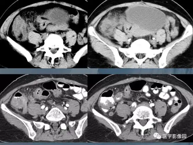
阑尾炎的ct诊断
奇声mav-2301家庭影院5.1组合家用炮客厅无 mav-2301六件
乔治亚大学