图知网
搜索
首页
热门推荐
图片分类
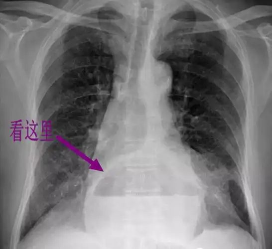
食管裂孔疝_手机搜狐网
下载原图
相关图片
经典影像之食管裂孔疝 - 好大夫在线
经典影像之食管裂孔疝 - 好大夫在线
经典影像之食管裂孔疝 - 好大夫在线
经典影像之食管裂孔疝 - 好大夫在线
哈医大二院胸外科经典病例之食管裂孔疝
我科成功治愈一例巨大食管裂孔疝患者
为你推荐
可爱呆萌卡通小猪猪头像图片
柱塞副平面受力分析图
马路牙石下, 贫瘠的土地也把精华滋养, 野花的气质也能高大上, 它们
北京大学·西门
好人好梦歌词简谱歌谱-苍强曲谱
【中国迷彩布】高色牢900d涤纶空军数码防水pu优利胶涂层牛津迷彩
princess pearl ii电视剧 / 剧情 / 喜剧 / 动作 / 爱情 / 古装刘丹
张宏伟在接到一个叫老五的人打来的电话,说要找赵晓雪表示感谢,曹海误