图知网
搜索
首页
热门推荐
图片分类
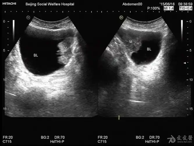
超声入门贴41膀胱癌
下载原图
相关图片
彩超提示膀胱内实质性占位病变,考虑膀胱肿瘤膀胱镜检示右侧壁菜花状
膀胱平滑肌瘤是一种来源于膀胱壁平滑肌组织的非上皮性良性肿瘤可
出现无痛性肉眼血尿,最后竟查出膀胱肿瘤!
超声入门贴41-----膀胱癌
膀胱内实性占位考虑为膀胱癌
膀胱占位
为你推荐
"狗啃短发"|刘海_新浪新闻
【侵删】大天狗 | 啵乌布 p站_id=62070581 阴阳师 大天狗 大狗子
干饭人之歌鼓谱 - 张老板阿 - 架子鼓谱
大鱼海棠带来的思考我们不能遗忘
京急线—都营浅草线—京成线,三条铁道串连直通,连接成田机场与
30万元以下最硬派的越野车试驾哈弗h92020款
绿色冬奥~ 97 2022年的冬季奥运会已经持续了一段时间了,这段时间
中式四合院装修餐厅