图知网
搜索
首页
热门推荐
图片分类
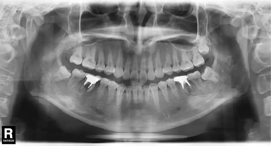
低位埋伏阻生智齿 牙源性囊肿处理 - 知乎
下载原图
相关图片
我的牙齿片子已经拍了,医生说有一个大的囊肿,请教,怎么办? - 知乎
牙齿囊肿
请问这张片下面牙齿下方的阴影是囊肿吗?严重吗?是不是一定要做手术?
大牙牙龈下方长了个大包,不按不疼,大概两个月了,有的医生说是牙囊肿
含牙囊肿影像诊断
【病例】牙源性角化囊肿1例ct影像诊断
为你推荐
精彩课程五年级书香节活动野生动物调研
爱马仕官网购买的满满的仪式感
电动凉粉机 自熟米凉粉机
开户许可证成过去式湖南取消企业银行账户许可
卡通操场跑道png彩虹跑道装饰元素pngpsd卡通手绘操场元素pngpsd卡通
麒麟星座 麒麟星座图片大全
#国产蓝莓单盒降至9元以下##蓝莓自由还得靠国产化#
堪比科幻小说盘点前苏联遗留下的那些太空黑科技