图知网
搜索
首页
热门推荐
图片分类
伊朗总统莱希发出警告,"美国和外来势力应该撤离中东地区".
下载原图
相关图片
伊古德拉希尔
金庸的见解很精辟
新天鹅堡疯子修的城堡有什么好看的
伊朗总统在压力和威胁下进行谈判是完全不可接受的
神宠超进化
世界杯守门员排名(盘点:有史以来最伟大的守门员 top12)
为你推荐
30多位明星大合影,杨幂马伊琍咖位高,细节能看出艺人交际能力
lol魔法少女厄加特炫彩皮肤实测:粉色有意外"彩蛋"
星际熊
秦溪悦《战胜病毒》
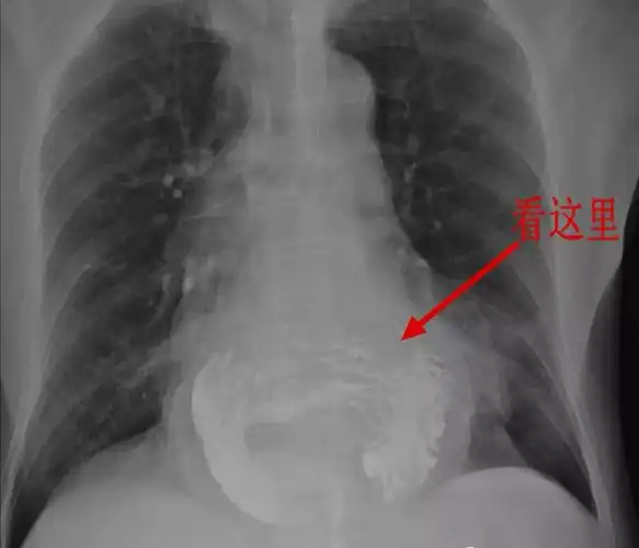
经典影像之食管裂孔疝 - 好大夫在线
[ 耐克 ] 男款黑色个性生活连帽长袖卫衣
特效化妆兽性回归揭秘月圆之夜狼人变身全过程
真假烟鉴别双喜硬经典1906