图知网
搜索
首页
热门推荐
图片分类
aa合欢葱兰花种球-卿了hhm
下载原图
相关图片
15元钱买了100粒葱兰的种球不一小心也开爆了盆
耐热普粉风雨雨兰葱兰韭兰花卉绿植盆栽夏季种球
种球类 优质葱兰种球批发 球根花卉 货源足 量大优惠 欢迎选购
阳台花园美化风雨兰盆栽葱兰花苗四季植物花卉绿植韭菜
耐寒花卉盆栽植物庭院地栽大葱花球根四季易活j16大花葱大葱兰10个球
批发家居绿化韭兰葱兰风雨兰球根植物葱兰花种球旭畅园林
为你推荐
林娜琏回归新闻图
太阳系中神秘的九号行星是否存在?科学家:尚不明确!_腾讯新闻
2020年五菱宏光s,1.5排量手波7座,一手车6万公里,保
宇智波带土高燃催泪向戎马一生只为琳
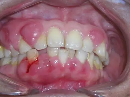
牙周病是侵犯牙龈和牙周组织的慢性炎症,是一种破坏性疾病,牙周病
皇后大典上的洗脸盆,果然不一般
墨西哥围岩欧泊
色环