图知网
搜索
首页
热门推荐
图片分类
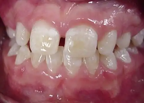
请问宝宝牙齿这样是牙釉质发育不良还是蛀牙
下载原图
相关图片
两岁宝宝 牙釉质发育不全和奶瓶龋!急急
两周岁半的宝宝牙齿的牙釉质有损坏,这是龋齿了吗?还有的救吗?
宝宝牙釉质发育不全严重该怎么补救
宝宝两岁四个月 她的牙齿这是怎么了,刚开始以为是烂了,每天都有刷牙
釉质发育不全的咬合重建一例2019escd认证病例
釉质发育不全?桑葚牙?
为你推荐
03版倚天屠龙记 | 赵敏 贾静雯饰演赵敏 比较经典的赵敏,形象深入
鬼灭之刃奇幻冒险
95
你们喜欢的许墨,黑化了依旧喜欢的我-音乐视频-搜狐视频
风水阁铜九转乾坤时来运转青龙鼎客厅办公室家居装饰摆件开业礼品
月夜
云雾漫山中(阳明山云海)
航行的船只在海上挂着白帆.