图知网
搜索
首页
热门推荐
图片分类
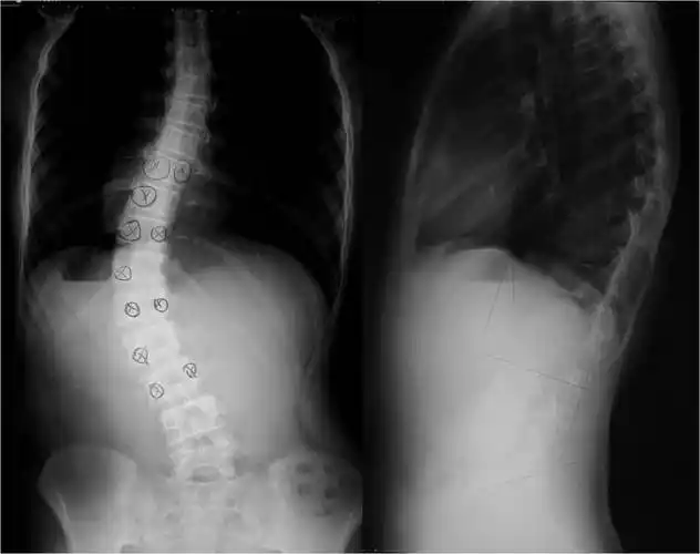
脊柱侧弯在青春期里度数增长的速度有多快?
下载原图
相关图片
2022年暑假大白脊柱侧弯训练报名5天现场训练
康睿仕案例分享: 13岁脊柱侧弯15度,康复训练15次矫正10度恢复
孩子发现脊柱侧弯该如何治疗? - 好大夫在线
王伟 记者 张晓培)近日,徐州一14岁女生刚刚做完脊柱侧弯矫形手术
我女儿15岁脊柱侧弯49一51度s弯不做手术能志好吗?
青少年特发性脊柱侧弯 典型病例2 - 好大夫在线
为你推荐
不愧是"不垫木箱很难同框"情侣,他和她的售后也太好了吧?
戴尔dell 灵越14pro 14英寸5430-1608l 13代酷睿笔记本电脑轻薄家用
男士街拍 第三百九十七期 | 高以翔的街拍look
鲁本斯不透明水彩颜料 24色 颜色丰富 颗粒细腻 耐光性好覆盖性强
适用空间:阳台货号:新孝感瓠子商品毛重:1.
正面观锁骨肩膀体态观测
3月以来衡阳100多人因蛇伤入院
猪猪侠之光明守卫者