图知网
搜索
首页
热门推荐
图片分类
001中国沉积盆地分布图002 全国页岩气有利区分布图003 大量实地照片
下载原图
相关图片
中国的四大盆地 四川 盆地
中国四大盆地分布图柴达木盆地是中国三大内陆盆地之一,属封闭性的
中国四大盆地 七大洲四大洋 - 北京百科网
那位仁兄有中国各盆地分布图?
什么是盆地我国的四大盆地有哪些异同世界十大盆地排名附中国四大盆地
四,中国四大盆地: 准格尔盆地: 海拔1000米左右,相 对湿润,北部有一外
为你推荐
环保小制作简单又漂亮纸杯小青蛙的做法_环保手工制作-查字典幼儿网
向往m8pro背景音乐主机智能播放器家庭功放吸顶喇叭音响musicbox3
对阵韩国在即!退钱哥能否再次见证国足胜利,喊到缺氧仍坚定
十字架和弦简谱
ps练习10透明气泡练习
广东外语外贸大学13级国贸专课程表 (1)
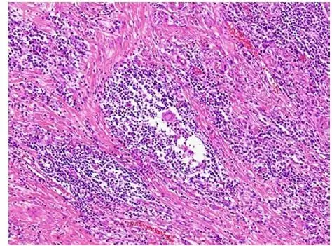
图7 微观显示炎性细胞浸润,无肿瘤细胞