图知网
搜索
首页
热门推荐
图片分类
胸片正位下方阴影是什么
下载原图
相关图片
读胸部影像片,这 10 个特征性改变不可不知
2019年2月12日上午体检时胸片显示左肺有大片阴影.
胸片上明显有阴影为什么报告是未见异常求解答
疑难问题,看看这张胸片
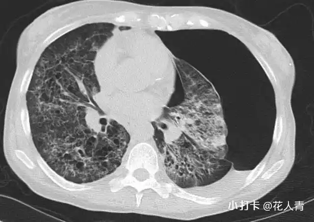
胸片示弥漫性对称性网点状间质性阴影,伴左侧自发性气胸.
图13 剪影征
为你推荐
没公德心!黄家驹墓碑遭"涂鸦"栽赃大陆?现场有俩字无人破解!
编织手链 - 月光如水水如天 - ↖月如水水如天↗
曲栅栅:嫁给落魄黄海波,凭《狂飙》走红,养夫8年改写人生篇章
【氛围感】法式温柔风雪纺仙女连衣裙女夏不规则鱼尾摆长裙
记忆中取暖用的"火墙"和"洋炉子"_东北_本溪_印象
胡鸿钧
qq空间可爱卡通头像图片200像素jpg格式女生专题
南宁一火葬场高薪招抬尸工30人,日薪高达1300元?