图知网
搜索
首页
热门推荐
图片分类
慕思新北欧风寝具
下载原图
相关图片
慕思太空树脂球床垫|主动贴合身形
慕思·歌蒂娅简美床架
慕思·家纺床品寝具
慕思·沙发CALIA
慕思·凯锐卧室寝具
慕思意简·意式简约皮床
为你推荐
开国十大将中有没有一位能镇得住所有开国上将的人
世界贸易组织(wto)标志矢量图
日系黑暗风格头像_微信头像图片大全
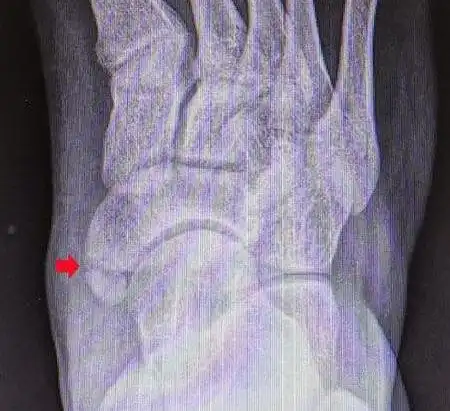
足内侧突出(副舟骨损伤)_踝部扭伤_症状表现_检查_治疗方式 - 好大夫
安雯:红楼梦晴雯扮演者,被丈夫宠爱23年,晚年砸锅卖铁无家可归_苏越
鹰鼻鹞眼
美妙天堂啦啦lives
众里寻她千百度, 乡村别院是归处!