图知网
搜索
首页
热门推荐
图片分类
郑伊健耍大刀"古惑仔"再现 彭顺否认与李心洁明年结婚
下载原图
相关图片
求几张霸气超拽男生带刀的qq头像
刘德华演古惑仔最狠的一次拔刀那一刻比陈小春还帅
坏人,如今出行靠轮椅|林岭东|古惑仔|演员|周润发|张曼玉_网易订阅
1995年开始,郑伊健凭借在《古惑仔》系列电影中饰演陈浩南一角走红
如何让昆山龙哥死的有价值
古惑仔刀
为你推荐
中国消防-商标logo设计理念
厂区鸟瞰图|其他|其他|腾de设计 - 原创作品 - 站酷 (zcool)
仿大理石电梯门套,仿理石电梯套,石塑电梯门套_山东海达建材有限公司
三原色到底是红绿蓝,红黄蓝,还是黄品青?-摄影早自习第1425天
王者荣耀q版头像 橘右京
美国纽约帝国大厦点亮"中国红"_灯光_新华社_主题
文字五月天歌词如烟青春文字控壁纸
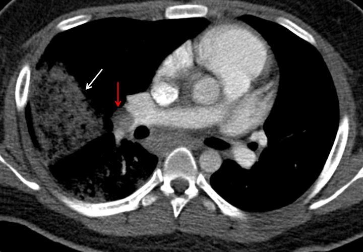
患者肺栓塞ct可见右肺动脉主干栓塞(红色箭头)及大面积肺梗死