图知网
搜索
首页
热门推荐
图片分类
海报丨一组关键词感受武警部队精锐之师的风采
下载原图
相关图片
热血开训超燃海报直击火热练兵场
武警官兵_新浪财经_新浪网
热血风采!一组武警官兵练兵备战海报送给您
热血开训超燃海报直击火热练兵场
热血风采!一组武警官兵练兵备战海报送给您
一组海报带你走进武警官兵夏日大练兵现场_中国军情_军事_新闻中心
为你推荐
生日快乐(单音版) 吉他谱 - 第1张
麦迪娜荣获金海鸥影视周"最in魅力奖"
莫兰迪艺术简奢家具细节图
16版钻石荷花细支烟标一对之二
巡音
吉他背景图
特价冬季jk制服大衣
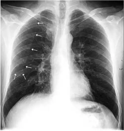
影像解剖入门正常胸片怎么看