图知网
搜索
首页
热门推荐
图片分类
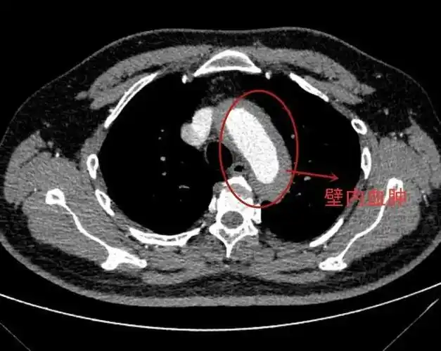
主动脉夹层
下载原图
相关图片
斯坦福a型主动脉夹层
皇冠手术心脏中心成功开展一例a型主动脉夹层行孙氏手术
乐山市人民医院心外科成功救治2例急性a型主动脉夹层危重症患者
主动脉夹层是什么
肠系膜上动脉支架置入"成功救治合并重度肠缺血急性a型主动脉夹层患者
主动脉夹层分型
为你推荐
eva真嗣明日香
线描三国人物
【店铺推荐】兔子活体小白兔小兔子大型家养肉兔新西兰兔苗比利时巨兔
一禅小和尚的抖音视频
有人比她漂亮有人比她出名为什么只有张火丁被称为梨园第一人
哈尼族舞蹈《木屐姑娘》 表演单位:红河县分公司
身份证照片竟可以在google 到,网络时代真的只能人人"裸奔"?
扶壁式挡土墙大样图