图知网
搜索
首页
热门推荐
图片分类
牧童淘气堡室内儿童游乐园
下载原图
相关图片
儿童乐园设计图纸和安装完成实际照片#源头实力厂家 #室内儿童 - 抖音
儿童乐园设计
室内空间摄影 | ppm儿童乐园项目
c316城堡亲子乐园儿童乐园游乐场室内设计效果图方案cad施工图纸
室内儿童乐园前景非常好.
儿童淘气堡乐园厂家采用独立沙池的设计方案的原因分析
为你推荐
彩虹四无人机在广西梧州成功首飞
尽管吴莫愁备受批评,却有一位导师对她十分认可,提供了最大的支持,那
给大家来一段日语沙雕表情包日语表情包
真善美的小世界1(八字歌谱)1
女生黑白头像伤感高清
中野挺进大别山为何宁可扔掉重武器也不给华野
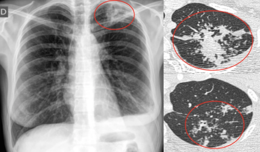
陈起航教授:肺结核的影像学评价——遏制,终止,终结肺结核(2)_腾讯
八极拳法