图知网
搜索
首页
热门推荐
图片分类
红木镶贝壳六角笔画筒
下载原图
相关图片
吉他护板彩色贝壳木吉他
珍藏老花梨木镶嵌贝壳一路发财文案案几,,398包邮不讲价
旧藏花梨木镶嵌贝壳鸳鸯茶盘摆件
花梨木镶嵌贝壳鸳鸯戏水案几不议价
花梨木手工镶嵌贝壳鸳鸯戏水盘子摆件,不议价
盒包围棋首饰盒佛珠邮大号项链螺钿盒平遥贝壳推光手镯漆器镶嵌
为你推荐
西装头像男生高清图片成熟帅气的高冷西装头像精选
绿色有哪几种绿(中国传统绿色色卡136种颜色)
科比离世半生戎马紫衣悬挂
【美图青海】青海到底有多美?每一张照片都可以做壁纸
《心理罪暗河》
熊猫头捂脸笑gif-发表情
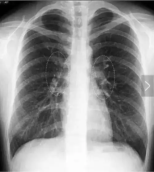
左,右肺门(虚线椭圆范围内)为肺动静脉及气管