图知网
搜索
首页
热门推荐
图片分类
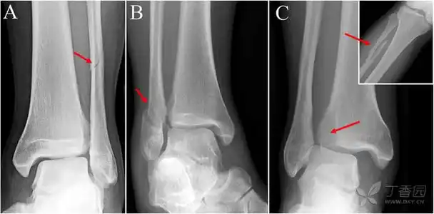
感觉就是之前撕裂的那条韧带(距腓前韧带)现在问题是我是又把
下载原图
相关图片
距腓韧带损伤,卧床两周.#远离伤病 #生病了才知道自己很脆弱 - 抖音
踝关节韧带丨解剖及损伤
jbjs概念回顾:踝关节下胫腓联合韧带损伤
下胫腓关节分离术后再次分离如何治疗
崴脚后疼痛之--跟距骨桥 - 好大夫在线
图4:胫腓联合损伤诊断测量线:a,胫腓骨重叠,b,胫腓骨间隙,c,内踝间隙.
为你推荐
春秋甜辣妹长袖气质露肩包臀裙子纯欲风一字肩吊带针织连衣裙女装
一组很丑很搞怪的头像
6道素炒家常菜简单易学一周不重样哦
入门级q版动漫人物素材临摹
徽派建筑历来为中外建筑大师所推崇#原创 #手绘 #建筑 #画画
华为huawei华为原装typec3a快充数据线白色适用华为荣耀手机等cp51
为什么辰龙是十二生肖中最特殊的一个?_动物_刘累_万物
下载基督精兵歌谱