图知网
搜索
首页
热门推荐
图片分类
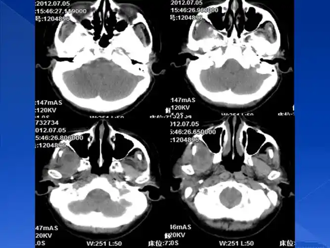
ct示:颅底凹陷
下载原图
相关图片
颞下窝炎性假瘤.ppt
颞下颌关节脱位ppt
颞骨薄层ct片
颅底ct
【求助】颞骨ct平扫
颞下颌关节紊乱病(tmd) 涉及科室:口腔科,口腔医院 检查优势 ct
为你推荐
绘本处处都是宝——以《蚂蚁和西瓜》为例的解读
1860年10月18日,英法联军火烧圆明园
乔家的儿女
古币天坛1角硬币一枚天坛硬币一枚支持多拍合
imp-performance amg gt50_奔驰gt amg社区_易车社区
何猷光女儿近照五官立体神似迪丽热巴未曾进入家族企业工作
干红红酒杯
千万别惹准妈妈生气呦,后果你承担不起! #孕期 #图文伙伴计 - 抖音